受损肌肤修复专家——六肽-9
清水洗脸也会感到刺痒;明明用着补水保湿的护肤品,皮肤却仍然干燥、脱皮;莫名其妙常常过敏,却找不到原因;皮肤症状反反复复、迁延不愈……从皮肤健康的角度来看,这些皮肤“亚健康”状态,主要是皮肤屏障功能受损造成的。
那么,皮肤屏障究竟指的是什么呢?

皮肤屏障
皮肤屏障是什么
皮肤是人体的第一道防线,是人体免疫系统重要的组成部分,这道防线的最外层就是皮肤屏障。
简单的说,皮肤屏障就是:角质层+皮脂膜结构。但是实际上,皮肤屏障是一个非常复杂的结构,我们可以比喻成一个砖墙结构。砖墙最外面的「油漆」是皮脂和汗液构成的皮脂膜,「砖块」是角质层的细胞,而「砖浆」是细胞间的间质。这一层结构最大的作用是锁住皮肤内的水分,同时还可以抵抗紫外线的损伤。
皮肤屏障完好
皮肤屏障受损
皮肤屏障受损的表现
皮肤屏障受损也就是说「皮脂膜」跟「角质层」出现了问题,无法留住水分,皮肤就会出现泛红、发痒、长痘、敏感等一系列症状,甚至会加剧皮肤的衰老。
屏障受损,水分流失、敏感加剧;
肤色暗沉,泛油长痘,毛孔粗大;
细点细纹,干燥脱屑,衰老加剧。

皮肤屏障受损的原因
引发皮肤屏障受损的原因有很多,最常见的有以下两点:
遗传、药物使用不当或者极端恶劣的气候环境导致
平日里护理不当而人为造成的屏障受损

痘印产生的原因
皮肤屏障受损不仅会导致皮肤变得敏感脆弱,同样也会导致皮肤频繁长痘,甚至留下难看的痘印。
痘印可分为红色痘印和黑色痘印。痘印的产生是由于痘痘消掉之后,毛细血管扩张并未消退,从而形成一种类似色素沉着的红色或黑褐色的假性疤痕,这是一种暂时性的假性疤痕,有效应对,可以祛除。

痘印产生的解决办法

促进皮肤胶原蛋白产生,能加快痘印退去;

促进皮肤新陈代谢,加速黑色素排除;

促使老废角质脱落,帮助肌肤更新,改善色素沉着。
皮肤屏障的修复
皮肤的屏障一旦受损会引起皮肤干燥、老化、色素沉着、爆痘及皮肤敏感等各种问题,而解决这所有皮肤问题的根源就是修复受损的皮肤屏障。
靶点修复,针对出击
表皮层修复
促进表皮角化细胞的分化和成熟,表皮再生
真皮层加固
促进真皮层成纤维细胞合成胶原蛋白,真皮修复
真皮表皮连接层补充(DEJ)
促进DEJ部位特殊胶原蛋白的形成,巩固DEJ

ZPC-Collagen045S六肽-9
六肽-9简介
一款有“硬核内涵”的产品设计需要以皮肤科学为基点,结合原料技术的靶向,依托科学配方架构的支撑,从而成为一款相对严谨或者更具有科学基础的产品。
六肽-9是一种新型的小分子合成六元多肽,由两个Gly-Pro-Gln序列组成,具有和人体胶原蛋白IV和XVII相同的序列。六肽-9由于含有这种结构而表现出全面且显著的抗敏修复功效;并且对于痘印的修复有非常奇特的效果,另外,六肽-9还有明显祛除眼部皱纹和眼角鱼尾纹等美容功效。

分子结构
作用机理
人的皮肤是由真皮层和表皮层组成的,而且DEJ作为两层中间的连接层,对皮肤的紧致和弹性有很大的影响。而六肽-9刚好能够同时作用于表皮层、表皮-真皮连接部(DEJ)和真皮层。
六肽-9可以绑定在成纤维细胞上引发细胞间质分子的合成,为皮肤提供强烈的再生信号,此信号与细胞间质重建发出的信号类似,具有促进伤口愈合、分化、皮肤再生和组织重建的作用。

促进表皮角化细胞的分化和成熟,具有皮肤修复作用,尤其对痘印的修复有非常奇特的效果;

促进真皮层成纤维细胞合成胶原蛋白,补充真皮层胶原蛋白的含量;

促进表皮-真皮连接组织(DEJ)的形成和加固。

注*:DEJ最主要的结构骨架是Ⅳ、Ⅶ、ⅩⅦ型胶原蛋白和层粘连蛋白,胶原蛋白的数量减少将会导致DEJ层的不稳定。
功效研究
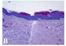
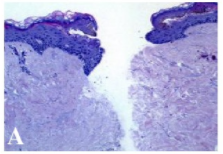
对皮肤再生修复
研究表明,六肽-9作为一种信使肽,迅速引发了皮肤再生,与未处理对照皮肤相比,六肽-9使表皮可以更完成和迅速再生,可修复伤口,重组完整的表皮层。

A:未处理的皮肤

B:1.5%六肽-9处理后的皮肤
促进胶原蛋白基因表达
在一项斑马鱼基因测试中,用q-PCR检测β-actin和col1a1a的的基因表达,结果发现六肽-9能有效促进斑马鱼col1a1a的的基因表达。

/ 科普小TIPS /
胶原蛋白

皮肤的生长、修复、营养以及弹性、张力都与胶原蛋白有关,它的流失会使皮肤光滑度下降,产生皱纹。
*I型胶原蛋白是一个三聚体,主要由两个α1链和一个α2链组成,分别由col1a1a和col1a2基因编码,在结缔组织和骨中执行胶原蛋白相关生物功能。在斑马鱼中也存在相关基因编码。
对表皮分化的作用
在另一组实验中,研究人员将0.5%ZPC-Collagen045S 六肽-9作用于人永生化角质形成细胞HaCaT,正常对照组为未处理角质形成细胞HaCaT,用q-PCR检测FLG的基因表达,结果发现六肽-9能有效促进丝聚蛋白FLG基因的合成,从而促进了表皮分化和更有效的皮肤屏障功能。


安全性
六肽-9符合化妆品产品安全评估报告(简化版)-可采用的证据-导则第9.1条中的相关条例。符合导则9.1.4,在2021年版的《已使用化妆品原料目录》中,对目录中的给出了原料最高历史使用量1.0%作为评估参考。

来源:《已使用化妆品原料目录(2021年版)》
ZPC-Collagen045S 产品信息

市场应用
经美修数据查询,含有六肽-9的产品有14377条搜索结果,其中更是不乏各路国内外大牌的产品。如国内的丸美、珀莱雅,国外的雅姿、Sensilis等知名品牌,都纷纷拜倒在六肽-9的百褶裙下。

丸美弹力蛋白日夜眼精华

珀莱雅赋能鲜颜淡纹紧致滋润霜

雅姿臻萃焕能乳霜

Sensilis 菁纯焕采密集修护抗皱精华
结语
浙江湃肽生物有限公司是一家致力于多肽产业化的国家高新技术企业,拥有全球领先的全固相合成多肽生产与开发工艺,专注于高技术壁垒的多肽原料药研发及生产;拥有以多肽首席科学家Jim Xie博士和章博士为核心的超强研发技术团队,已成功研制了多个像ZPC-Collagen045S的美容多肽原料,攻克了在合成端的技术壁垒和价格壁垒。凭借在多肽领域的研发优势、过硬产品质量,获得国内、国际市场较高认可。同时,湃肽一直坚持匠心筑梦,品质为先,力争打造中国多肽领导品牌,持续为客户提供更优质的产品和更专业的服务。

得益于六肽-9强大的修复能力,近几年来中国本土各大品牌也掀起了六肽-9热潮,市场热度居高不下。作为全能性护肤选手,六肽-9在未来一定会不断给市场带来惊喜~

扫码关注我们
解锁更多资讯